Home - Space Coast Daily
News
Crime
Mugshots
Sports
EFSC
Florida Tech
Prep Sports
Space Coast Hall of Fame
Health
Health First
Tres Vision Group
Business
Economic Development Commission of Florida’s Space Coast
Real Estate
Atlantic Group Real Estate
Space
Politics
Entertainment
Things to Do
FLORIDA’S SPACE COAST
Stay & Play
Accommodations
Attractions
Restaurants & Bars
Weather
SCDTV
Obituaries
Adoptable Pets
Receive Email Alerts
Download App
Things to Do
FLORIDA’S SPACE COAST
Stay & Play
Accommodations
Attractions
Restaurants & Bars
Weather
SCD TV
Local
North Brevard
Scottsmoor
Mims
Titusville
Port St John
Canaveral Groves
Central Brevard
Cocoa
Merritt Island
Viera
Suntree
Rockledge
Cocoa Beach
Port Canaveral
Cape Canaveral
Patrick Air Force Base
South Brevard
Satellite Beach
Indialantic
Melbourne Beach
Melbourne
West Melbourne
Palm Bay
Palm Shores
Grant / Valkaria
Barefoot Bay
Sebastian
More
Adoptable Pets
Obituaries
Download Mobile App
News Ticker
[ December 29, 2025 ]
THIS DAY IN HISTORY: Space Shuttle Columbia Rolls Out to Launch Pad 39A Over 40 Years Ago
Brevard News
[ December 29, 2025 ]
Space Coast Area Transit Announces New Year’s Holiday Schedule Updates
Brevard News
[ December 29, 2025 ]
Russia Accuses Ukraine of Targeted Attack on Russian President Vladimir Putin’s Residence
Brevard News
[ December 29, 2025 ]
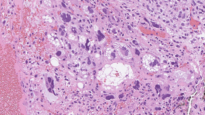
New Technology Featuring Digital Pathology Speeds Critical Diagnoses at Health First
Brevard News
[ December 29, 2025 ]
WATCH LIVE: Court Is Now In Session From the Brevard County Jail Complex
Brevard Crime News
THIS DAY IN HISTORY: Space Shuttle Columbia Rolls Out to Launch Pad 39A Over 40 Years Ago
Space Coast Area Transit Announces New Year’s Holiday Schedule Updates
Russia Accuses Ukraine of Targeted Attack on Russian President Vladimir Putin’s Residence
New Technology Featuring Digital Pathology Speeds Critical Diagnoses at Health First
WATCH LIVE: Court Is Now In Session From the Brevard County Jail Complex
Enroll Now for 2026 Spring Classes at Eastern Florida State College!
VanFest Van Life Expo Returns to Space Coast Daily Park in Viera Feb. 7-8
MUG SHOT OF THE DAY
Arrests In Brevard County: December 21, 2025 – Suspects Presumed Innocent Until Proven Guilty
PHOTO OF THE DAY
Flashing Red Light Once Served as Titusville Police Department’s Call to Duty
VIDEO OF THE DAY
WATCH: Thousands of ‘Surfing Santas’ Hit Cocoa Beach for Annual Space Coast Tradition Christmas Eve Morning
FEATURED EVENT
VanFest Van Life Expo Returns to Space Coast Daily Park in Viera Feb. 7-8
TOP STORIES
CRIME
WATCH LIVE: Court Is Now In Session From the Brevard County Jail Complex
SPORTS
Space Coast Sports Hall of Fame Inductee Randy Pobst Honed Driving Skills as Brevard Teenager
HEALTH
HOT OFF THE PRESS! December 22, 2025 Space Coast Daily News – Brevard County’s Best Newspaper
BUSINESS
Nationally Ranked DC Roofing Calls Brevard County Home, Among Best Companies in Nation
POLITICS
Florida GOP Ousts Brevard Republican Leader Rick Lacey Over Campaign Finance, Conduct Breaches
SPACE
WATCH: NASA Astronauts of Apollo 8 Moon Mission Deliver Christmas Eve Message In 1968
ENTERTAINMENT
BLACK FRIDAY SALE: 25% OFF Space Coast Renaissance Fair Tickets This Friday Only!
EVENTS
Noble Horses and Thundering Jousts to Take Center Stage at Space Coast Renaissance Fair in Viera
WEATHER
BREVARD WEATHER: Mostly Sunny, High of 81 Monday on the Space Coast
SPACE COAST DAILY TV
Russia Accuses Ukraine of Targeted Attack on Russian President Vladimir Putin’s Residence
WATCH LIVE: Court Is Now In Session From the Brevard County Jail Complex
Enroll Now for 2026 Spring Classes at Eastern Florida State College!
Brevard Sheriff Wayne Ivey Invites Residents to Attend the BCSO Citizens Academy, Which Starts January 26
Financial Expert Corrie Borde from Borde & Associates Explains Family Health Insurance Costs, Mistakes and How to Fix Them
Space Coast Sports Hall of Fame Inductee Randy Pobst Honed Driving Skills as Brevard Teenager
Satellite Beach Was Incorporated in 1957 Due to Rapid Expansion of Employment at Cape Canaveral
FEATURED STORIES
Enroll Now for 2026 Spring Classes at Eastern Florida State College!
Do You Like To Role Play? Become a DiceKnight Adventurer at the Space Coast Renaissance Fair in Viera
HOT OFF THE PRESS! December 22, 2025 Space Coast Daily News – Brevard County’s Best Newspaper
HOT OFF THE PRESS! Enjoy Space Coast Daily, Brevard County’s Best and Most Read Magazine
New Year’s Resolution: Attorney David Volk Wants 2026 to Be Your Best Year Ever
HOT OFF THE PRESS! December 8, 2025 Space Coast Daily News – Brevard County’s Best Newspaper
Enroll Now for 2026 Spring Classes at Eastern Florida State College!
HOT OFF THE PRESS! November 24, 2025 Space Coast Daily News – Brevard County’s Best Newspaper
HOT OFF THE PRESS! November 10, 2025 Space Coast Daily News – Brevard County’s Best Newspaper
HOT OFF THE PRESS! Enjoy Space Coast Daily, Brevard County’s Best and Most Read Magazine
Close this module
Click Here to Sign Up for Text Alerts
Or Signup Below For Email Alerts!
Your email
johnsmith@example.com
Subscribe Now!